Support
Kostenlose Download- und Informationsplattform
  • Wikipedia

Die subkortikale arteriosklerotische Enzephalopathie (SAE, Synonyme: Morbus Binswanger, Binswanger-Krankheit, vaskuläre Enzephalopathie) ist eine durch Gefäßver

Vaskuläre Demenz

  • Startseite
  • Vaskuläre Demenz
Klassifikation nach ICD-10
I67.3 Progressive subkortikale vaskuläre Enzephalopathie
- Binswanger-Krankheit
F01.2 Subkortikale vaskuläre Demenz
{{{03-BEZEICHNUNG}}}
{{{04-BEZEICHNUNG}}}
{{{05-BEZEICHNUNG}}}
{{{06-BEZEICHNUNG}}}
{{{07-BEZEICHNUNG}}}
{{{08-BEZEICHNUNG}}}
{{{09-BEZEICHNUNG}}}
{{{10-BEZEICHNUNG}}}
{{{11-BEZEICHNUNG}}}
{{{12-BEZEICHNUNG}}}
{{{13-BEZEICHNUNG}}}
{{{14-BEZEICHNUNG}}}
{{{15-BEZEICHNUNG}}}
{{{16-BEZEICHNUNG}}}
{{{17-BEZEICHNUNG}}}
{{{18-BEZEICHNUNG}}}
{{{19-BEZEICHNUNG}}}
{{{20-BEZEICHNUNG}}}
{{{21-BEZEICHNUNG}}}
ICD-10 online (WHO-Version 2019)
Klassifikation nach ICD-11
8B22.Y Sonstige näher bezeichnete zerebrovaskuläre Erkrankungen
ICD-11: Englisch • Deutsch (Vorabversion)

Die subkortikale arteriosklerotische Enzephalopathie (SAE, Synonyme: Morbus Binswanger, Binswanger-Krankheit, vaskuläre Enzephalopathie) ist eine durch Gefäßveränderungen (Arteriosklerose) hervorgerufene Erkrankung des Gehirns (Enzephalon), die unterhalb der Großhirnrinde (Cortex), also subkortikal zu Schädigungen (Pathologien) führt. Zuerst wurde sie von dem Schweizer Nervenarzt Otto Ludwig Binswanger (1852–1929) in Jena beschrieben.

Inhaltsverzeichnis

Pathogenese

Die SAE ist durch viele Infarkte in Kombination mit einer vaskulären Demyelinisierung des Marklagers (also einer Abnahme der „Isolierung“ (Myelinscheiden) der Nervenzellfasern, die die Großhirnrinde mit den subkortikalen Hirnstrukturen verbindet) mit diffuser Dichteminderung um die Hirnventrikel (periventrikulär) im Computertomogramm gekennzeichnet. Diese Ischämien scheinen erst durch Veränderungen der Gefäßwand (Lipohyalinose) kleiner, im tieferen Gehirn liegender Arterien verursacht zu werden. Es kommt zu einer Verdickung der Gefäßwand, die zu einer Lumeneinengung führt. Die Demyelinisierung scheint ischämisch bedingt zu sein, was durch die Abnahme des Perfusionsdrucks bei hypotonen Episoden bedingt ist. Bei Patienten mit SAE lassen sich häufig arterielle Hypertonie, Diabetes mellitus und rezidivierende Infarkte in unterschiedlichen Hirnregionen finden.

Ein ähnliches pathologisch-anatomisches Bild zeigen die Progressive multifokale Leukenzephalopathie, Leukodystrophie und mitochondriale Erkrankungen.

Symptome

Es lassen sich kaum charakteristische Symptome zusammenfassen, da die kleinen Infarkte nicht notwendigerweise symptomatisch werden. Da jedoch primär das Marklager betroffen ist, kann man davon ausgehen, dass hauptsächlich Störungen in der Erregungsleitung auftreten. Oft, aber nicht notwendigerweise und häufig erst nach mehrjährigem Verlauf kann es zu einer intellektuellen und affektiven Verflachung („Nivellierung“) in Kombination mit neuropsychologischen Störungen kommen.

Im späten Verlauf kann die subkortikale arteriosklerotische Enzephalopathie zu einer vaskulären subkortikalen Demenz führen, diese ist vermutlich für den größten Teil der Symptome der vaskulären Demenzen (mit)verantwortlich. Charakteristische Symptome der subkortikalen arteriosklerotischen Enzephalopathie sind:

Gangstörung

Dieser Artikel oder Abschnitt ist nicht allgemeinverständlich formuliert. Die Mängel sind unter Diskussion:Subkortikale arteriosklerotische Enzephalopathie beschrieben. Wenn du diesen Baustein entfernst, begründe dies bitte auf der Artikeldiskussionsseite und ergänze den automatisch erstellten Projektseitenabschnitt Wikipedia:Unverständliche Artikel #Subkortikale arteriosklerotische Enzephalopathie um {{Erledigt|1=~~~~}}.

Folgendes sollte noch verbessert werden: Bis auf den ersten Satz für Nicht-Mediziner leider kaum/gar nicht verständlich. Vgl. Disk-Seite

Es ist ein breitbeinig-unsicherer, tapsiger Gang, der zumeist als „frontal“ oder „apraktisch“ beschrieben wird, aber nicht das kleinschrittig-rhythmische „shuffling“ des Morbus Parkinson imitiert. Der Muskeltonus ist spastisch erhöht, die Pyramidenbahn also an der Symptomatik beteiligt. Die Betonung an den unteren Extremitäten entspricht der Lage der Bahnen, wobei die topographische Anordnung die Bahnen für die Beine am weitesten medial (ventrikelnahe) zeigt. Die Muskeleigenreflexe sind gesteigert (bei Morbus Parkinson abgeschwächt bis fehlend) und die Pyramidenbahnzeichen oft positiv.

Blasenstörung

Imperativer Harndrang und Harnverlust bis zur Harninkontinenz sind häufig, die zentrale Blasenbahn schließt direkt an die Bahnen der Beine lateral an.

Subkortikale Demenz

Verlangsamung und Antriebsverlust ähneln dem Verhalten bei Parkinson, auch der soziale Rückzug ist ein frühes Symptom. In weiterer Folge kommen paranoid-halluzinatorische Symptome dazu, während die noopsychischen kortikalen Funktionen wie abstraktes Denken und das Langzeitgedächtnis lange Zeit unbeeinflusst bleiben. Die Demenz schreitet aber fort.

Diagnosekriterien

  • Einschränkung der höheren Hirnleistungen (Demenz) sowie
  • Zwei der folgenden Symptome
    • Hochdruck oder allgemeines Gefäßleiden
    • Chronische vaskuläre Insuffizienz (Störung der Blutgefäße)
    • Subkortikale Dysfunktion (Gangstörung, Rigor, Blasenstörung)

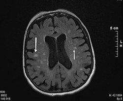
Bildgebende Diagnostik

Bild einer Magnetresonanztomographie

Die Diagnose wird mit einer MRT (Magnetresonanztomographie = Kernspintomographie) gesichert. Diese zeigt in den T2-gewichteten Bildern typische weißliche konfluierende Herde um die Ventrikel und besonders an den vorderen und hinteren Enden der Seitenventrikel eine kappenartige Sklerosezone.

Differentialdiagnostisch davon zu unterscheiden ist der „Status lacunaris“. Multi-Infarktgeschehen insbesondere bei Vorhofflimmern, wo in den gleichen Bereichen kleine Infarkte (Mikroinfarkte) ein ähnliches klinisches Bild hervorrufen. Sehr selten tritt eine CADASIL auf.

Therapie

Eine kausale Therapie existiert bisher nicht, da die genaue Ursache der SAE nicht geklärt ist. Es gibt keine chirurgischen Behandlungsmöglichkeiten. Die Möglichkeiten einer medikamentösen Beeinflussung sind gering. Das therapeutische Ziel sollte sein, sowohl kurzfristige hypotone wie auch längerfristige hypertone Episoden zu vermeiden, da diese Kombination ein erheblicher Risikofaktor der SAE ist. Außerdem sollen bekannte Risikofaktoren „günstig beeinflusst“ werden, wie z. B. durch Nikotinverzicht, Gewichtsabnahme, Behandlung von Herzschwäche und Herzrhythmusstörungen.

Physiotherapie

Wegen der im Vordergrund stehenden extrapyramidalen Bewegungsstörung kommt diesem Bereich zunächst die größte Bedeutung zu. Neue Strategien zur Kompensation der Gleichgewichtsstörung, der Gangstörung und der Koordinationsstörung sind notwendig und müssen frühzeitig begonnen werden.

Ergotherapie

Wegen der Koordinationsstörung, besonders auch der Zweihandkoordination und der Kombination mit apraktischen Symptomen ist ihr Einsatz wichtig. Inkontinenzberatung und Gabe entsprechender Mittel, Versorgung mit Inkontinenzmaterial und Beratung über die Trinkgewohnheiten erleichtern das Leben der Betroffenen und ihrer Angehörigen.

Kognitives Training und medikamentöse Behandlung

Wird von Psychologen und Ergotherapeuten oder auch gemeinsam durchgeführt und zielt auf die Selbständigkeit, Eigenverantwortung und bessere Orientierung ab. Bei Verhaltensstörungen werden neuerdings nicht-pharmakologische Interventionen favorisiert. Erst wenn diese nicht ausreichen, soll auf medikamentöse Hilfe zurückgegriffen werden. Hier werden v. a. Antidepressiva, Serotonin-Wiederaufnahmehemmer, Antihypertonika) zur Behandlung der Begleitsymptome genannt. Nootropika zeigen nur bei einem Teil der Patienten Wirkungen von geringem Ausmaß und begrenzter Dauer. Die Wirkung von Hemmstoffen der Acetylcholinesterase, die in der Behandlung der Alzheimer-Krankheit die am besten belegten Effekte haben, wird bei gefäßbedingten Hirnleistungsstörungen untersucht (Stand: 2000).

Differentialdiagnose

Eine zuverlässige Diagnose muss im Rahmen einer Differenzialdiagnose folgende Krankheiten und Störungsbilder ausschließen bzw. abgrenzen:

  • Multiinfarkt-Demenz (MID) ICD-10: F01.1
  • Normaldruckhydrocephalus
  • Morbus Alzheimer
  • Multiple Sklerose
  • Strahlenschaden
  • Leukodystrophie
  • Hirnödem
  • HIV-Enzephalopathie
  • Progressive multifokale Leukenzephalopathie
  • CARASIL
←Nächster BeitragVorheriger Beitrag→
Am meisten gelesen - Wikipedia
  • April 22, 2026

    Königreich Oyo

  • April 07, 2026

    Kronland (Österreich)

  • April 10, 2026

    Österreichische Staatsbürgerschaft

  • April 08, 2026

    Martin Grasmück

  • April 03, 2026

    Caesar (Begriffsklärung)

Studio

  • Wikipedia

Newsletter Anmeldung

Kontakt aufnehmen
Kontaktieren Sie uns
© 2025 www.wikimap.de-de.nina.az - Alle Rechte vorbehalten.
Urheberrecht: Dadash Mammadov
Oben